Spuren des Missbrauchs

Sexueller Kindesmissbrauch ist ein mörderischer Angriff auf die Seele eines Kindes. Ein Angriff, der auch über die Kindheit hinaus anhält, denn erst danach vermag der seelisch verletzte Mensch überhaupt erst annähernd zu erfassen, was ihm angetan und wie tief er missachtet wurde; denn erst mit seinem gereiften Bewusstsein erlangt das Opfer auch die kognitive Fähigkeit, das Geschehen als ein Verbrechen zu erfassen. Das bedeutet aber auch, dass es von da an die Last dieses Verbrechens mit sich trägt. Weitere Erkenntnisschritte werden folgen, bis es auch die psychische Deformation, den partiellen Identitätsverlust und das Ausmaß seiner Verhaltensstörungen, zum Beispiel Suchterkrankung oder selbstverletzende Attacken, reflektieren und ihre Ursache erhellen kann.

Der Missbrauch mit seiner weitgespannten sexualisierten Gewalt, die meist von einer beständig sexualisierten Umgebung verstärkt und gleichzeitig „normalisiert“ wird, ist ein so immenser Angriff auf die Kinderseele, dass das eigentliche Kind, das sich in die Welt aufmachen wollte, dort nicht mehr ankommt, sondern zum Wrack wird, das aber nicht mehr geborgen werden kann, sondern zu Treibholz zerschlagen an den Strand gespült wird. So setzt sich der erwachsenwerdende Mensch erst allmählich wieder zusammen und findet als bruchstückhafte Person Boden unter den Füßen. Er ist fortan ein Überlebender eines Seelenmordes.

Doch nicht nur die Kinderseele wird durch Missbrauch und Misshandlung langfristig zerstört, sondern auch der Körper und der Sitz der Psyche, das Gehirn. Es ist längst bekannt, dass sexualisierte Gewalt, Misshandlung und Deprivation die Gehirnentwicklung von Kindern massiv beeinträchtigt. Insbesondere sind es Amygdala und Hippocampus, die sich auffällig verändern.

In der Amygdala werden insbesondere stressbedingte Erinnerungen abgelegt. Sie ermöglicht es uns, bei Gefahr sofort, gleichsam instinktiv, zu handeln. Sie setzt den Impuls für Flucht oder Angriff, noch ehe wir in der Gefahr einen entscheidenden Gedanken fassen konnten. Bei erfolgtem Missbrauchserleben ist die Amygdala häufig vergrößert. Anders hingegen der Hippocampus, der die Gedächtnisleistung zwischen Kurz- und Langzeitgedächtnis koordiniert und auch unsere Empfindungsfähigkeit reguliert; er reduziert sich unter dauerhaftem Disstress. Beide Hirnregionen zählen zum limbischen System, das unsere Triebe und Emotionen insgesamt steuert. Angst, Furcht, Depression, eingeschränkte Gedächtnisleistung, emotionale Taubheit und auffälliges Sozialverhalten sind die Folgen von Störungen im limbischen System. Die hirnorganischen Ursachen einer posttraumatischen Belastungsstörung (PTBS) können hier gleichfalls lokalisiert werden.

 Sexueller Kindesmissbrauch ist demnach auch ein massiver Angriff auf die Leiblichkeit eines Kindes. Er ist eben nicht nur die vorübergehende Verletzung seiner Intimsphäre und Geschlechtsteile, sondern er ist ein nachhaltiger Anschlag auf seine hirnorganische und somit geistige Entwicklung. Sexueller Missbrauch ist eine zersetzende Attacke auf das Wesen eines Kindes, er zersetzt langfristig die Person und Eigenart des Opfers. Sexueller Missbrauch zerbricht das Opfer und vernichtet seine ursprüngliche Identität. Es wird nie wieder der heile Mensch sein, der es vorher war. Hirnorganisch bedingter Disstress als Folge der Schändung wird fortan seine Gesundheit insgesamt sowie seine Psyche und im speziellen sein Verhalten bestimmen.

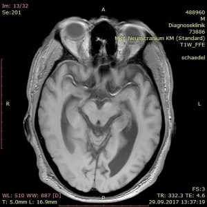
Dieser Tage erhielt ich einen erschreckenden Einblick in das Ausmaß der Zerstörung Meinerselbst durch Vater und Mutter, die beiden Mörder meiner Seele. Auf der diagnostischen Suche nach der Ursache für meinen Schwankschwindel wurde auch mein Schädel fixiert und per MRT durchleuchtet. Nach der 25minütigen Prozedur in der Röhre traf ich den Radiologen vor dem Bildschirm und sah mir scheibchenweise ins Gehirn. Der Arzt war sichtlich betroffen über die auffällige Atrophie meines Gehirns. Er zeigte mir die ungewöhnlich ausgedehnten Ventrikel, sprich Hohlräume, an den Seiten und im Innenraum meines Brägens. Er fragte nach möglichen Erkrankungen wie Diabetes und Bluthochdruck. Ich verneinte und erwähnte meine PTBS. Er erkundigte sich nach der Ursache, ich verstand die Frage akustisch nicht, meine Frau antwortete für mich: sexueller Missbrauch und Misshandlung durch die Eltern. Nun kam zu seiner Betroffenheit noch ein tieftrauriger Zug, und er erklärte mir, dass Missbrauch und Misshandlung derlei tiefe und bleibende Spuren im Gehirn hinterlassen. Angesichts meiner geistigen Präsenz zeigte er zudem über die strukturelle Regenerationsfähigkeit des Gehirns Erstaunen. – Später sah ich im Internet das „Schalenhirn“ eines Mathematikers mit einem IQ von 126, das nur geschätzte 100 g Masse besaß (siehe hier).

In meinem Therapietagebuch notierte ich dazu trocken: „Neben dieser Diagnose: keine Blutungen, keine Aneurysmata, keine Tumore oder Metastasen. Nur ein weiterer Ausschluss auf der Diagnose zum psychogenen Schwankschwindel. Die Hirnatrophie selbst ist nur ein Sachverhalt des Missbrauchs, man kann auch mit einem „Resthirn“ gescheit und sinnenfroh überleben.“

Gleichwohl war ich über diese einmalige Perspektive auf die Folgen meines erlittenen Missbrauchs erschrocken. Was mir da in meiner Kindheit und Jugend angetan worden war, induzierte gewissermaßen eine Art von Selbstauflösung. Meine Seele war derart verkümmert, dass sich meine Physis aus dieser Welt zurückziehen wollte. Sie begann, sich in ihrem Zentralorgan aufzulösen und somit ihr ganzes Wesen aus der Welt zu nehmen. Dies aber ist für mich das besonders erschreckende an der Schändlichkeit der Kinderschänder: ihr Verbrechen ist ein verlangsamter Mord. So wie manch einer mit spärlichen Giftgaben über Monate hinweg kränkelt und schließlich ermordet wurde, so stirbt auch hier ein Mensch über einen noch längeren Zeitraum, sofern ihm der Zufall oder ein guter Dämon nicht einen Ausweg aus diesem Prozess der Vernichtung und Selbstauflösung weist.

Blicke ich auf meine Entwicklung zurück, stelle ich auch fest, dass es bei mir, nachdem ich mich – erwachsen und clean geworden – von den Tätern fernhielt, noch Jahre dauerte, bis ich überhaupt ein annähernd authentisches Gefühlsleben entwickeln konnte. Zu Beginn war ich empfindungslos, ich selbst bezeichnete meinen emotionalen Zustand als „gefühlstot“. Jedenfalls imitierte ich die Gefühle meiner Mitwelt, um nicht weiter aufzufallen; denn ich zeigte öfters völlig unangemessene Gefühlsausdrücke, durch die ich andere Menschen so manches Mal verletzte. Auch heute noch habe ich Probleme damit, dass ich mein Empfinden nicht situationsgerecht relativieren kann. So bin ich oft unverblümt und damit auch sozial auffällig. Allerdings kann ich den in mir angerichteten Schaden gar nicht wirklich ermessen, denn wer blind geboren wurde, kann auch nicht wissen, was ihm Sinnliches entgeht; und wem, wie bei mir, die Gefühle aus Leib und Seele geätzt wurden, der vermag diesen Verlust in seinem Ausmaß niemals abzuschätzen.

Jedenfalls bin ich einigermaßen froh, dass ich heute nach mehr als sechs Jahrzehnten das Gefühl der Angst wahrzunehmen vermag, das mich so lange unbemerkt begleitet und ebenso gekonnt gejagt hatte. Ich schrieb in meinem letzten Beitrag darüber. Ja, ich konnte inzwischen auch zweimal die Angst als Gefühl annehmen, ohne vor ihr zu fliehen. Ja, dieses Gefühl gleicht für mich einem Bordun, dem Grundton mancher Weisen auf dem die eigentliche Melodie aufsetzt. In ähnlicher Weise begleitet mich auch die PTBS als Bordun meines Gemütszustandes.

Als Hörbeispiel meiner nachhaltigen Schädigung von Angst und PTBS habe ich abschließend ein Video des Bordun Orchesters eingebettet. Die Bilder in diesem Beitrag kehren mein sichtbar zerstörtes Inneres, sprich mein Gehirn, nach außen.

4 Gedanken zu “Spuren des Missbrauchs

  1. hallo, lotosritter,
    normalerweise trete ich nicht in kontakt mit personen, die ihren namen verstecken. nachdem ich über twitter auf https://lotoskraft.wordpress.com/2017/10/08/1093/ aufmerksam geworden war, habe ihren blog gelesen und verstanden, dass sie ihren namen nicht nennen.
    sie sind durch die hölle gegangen und konnten nur mithilfe enger leitplanken (ihre skills) weitergehen, um nicht abzustürzen.
    bei ihnen ist verdammt viel zusammen gekommen, mehr als in den meisten fällen, die ich kennenlernte. es verschlägt mir trotz meiner vielen erfahrungen, die sprache.
    eine eher oberflächliche hilfe könnte ein blogbeitrag von mir sein, in dem ich von einem OEG-urteil berichte. https://dierkschaefer.wordpress.com/2020/11/20/oeg-urteil/ . sie sind nicht mehr der jüngste, und ob sie sich auf diesen parcour begeben wollen, kann ich nicht beurteilen. doch das urteil könnte den rechtsweg erleichtern.
    kurz zu ihren schnittaufnahmen vom kopf. ich bin kein fachmann und kann damit nicht viel anfangen, obwohl ich vor vielen jahre einem oberarzt erklären musste, wir er mit schnittaufnahmen umzugehen hat. er sagte über die aufnahmen unseres jüngsten den ermutigenden satz: aber der hat ja kein gehirn. – ich habs ihm dann gezeigt. unser jüngstes kind, ein adoptivkind, kam mit einem hirnschaden zur welt, dazu gehörte der hydrozephalus (wasserkopf). ganz beiläufig hatte ich im psychologie-studium gelernt, dass man auch mit hydrozephalus beachtliche leistungen erbringen kann.
    viele jahre später, bei einer shuntkontrolle, sagte der professor vor dem lichtkasten, einen oberarzt neben sich: schauen sie sich das bild an. unsereins wäre halbseitig gelähmt, der aber spielt geige und braucht dazu die finger der linken hand. merken sie sich: immer wenn sie ein bild sehen und das kind daneben, und das stimmt nicht überein, dann hat das kind recht.
    ich habe nur wissend geschmunzelt.
    so viel zu schichtaufnahmen.
    seien sie herzlich gegrüßt
    und achten sie weiter auf ihre leitplanken.
    ihr
    dierk schäfer, freibadweg 35, 73087 bad boll, tel: 0 71 64 / 1 20 55

    Gefällt 1 Person

    • Danke für Ihren Kommentar. Ihr pdf mit dem Urteilsentwurf habe ich gelesen. Nein, einen OEG-Antrag werde ich gewiss nicht stellen, da war mir schon allein die Tortur, das G in meinen Behindertenausweis wegen psychogenen Schwankschwindel zu erhalten, genug.

      Gefällt 1 Person

Hinterlasse einen Kommentar